Esta página web usa cookies. ¿Acepta usted el uso de cookies externos? No Saber más x
Encuesta sobre la acondroplasia
Hemos diseñado un cuestionario con el objetivo de conocer la población afectada o cercana a la acondroplasia.
El cuestionario es opcional y anónimo. Los datos obtenidos serán usados para cálculos estadísticos y para poder tener una mejor percepción sobre la historia natural de la acondroplasia.
Por favor, considere e intente responder. Si usted desea responder a las preguntas más tarde, puede presionar el botón en la parte superior "Inscribirse en BA"

El tratamiento dental en la acondroplasia es un tema que considero bastante relevante, aunque pocas cosas hayan sido publicadas sobre este tema.

La ortodoncia y las anomalías ortopédicas dentofaciales pueden causar alteraciones y patologías del habla y respiratorias. Mientras que los dentistas "generales" pueden proporcionar un tratamiento de ortodoncia conjuntamente con otros tratamientos para los dientes como el llenado, la limpieza y las coronas, los ortodontistas se ocupan del estudio y el tratamiento de las maloclusiones, que están relacionadas con las mordeduras incorrectas, que pueden ser el resultado de una irregularidad dental y/o de relaciones desproporcionadas de la mandíbula.

La maloclusión no es una enfermedad, sino una alineación anormal de los dientes y la manera en la cual los dientes superiores e inferiores encajan entre sí. La prevalencia de la maloclusión varía, pero al utilizar los índices de tratamiento de ortodoncia, que categorizan las maloclusiones en términos de gravedad, se puede decir que cerca del 30% de la población que presenta maloclusiones lo suficientemente graves se beneficiaría del tratamiento de ortodoncia".

La maloclusión también puede originar respiración bucal, lo que podría causar deformidades en el arco dental y ser un factor de riesgo para caries y enfermedad periodontal. En este caso, los aparatos de ortodoncia fijos agravarían el problema.

He encontrado un artículo de estudio de caso bastante interesante de A. Al-Jobair del Departamento de Odontología Pediátrica y Ortodoncia de la Facultad de Odontología de la Universidad Rey Saud, publicado en 2010. De este artículo destacaré sus partes más importantes. Este es un estudio de caso de una niña de 11 años de edad.

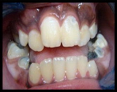
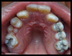
"La paciente parecía ser bien integrada, se la veía sana e inteligente, pero tenía dificultad para hablar. En su visita inicial tenía un tamaño de 100 cm de estatura. El examen extraoral reveló manifestaciones clásicas asociadas con la acondroplasia como ser: baja estatura, manos cortas y en tridente, prominencia frontal, puente nasal hundido, hipoplasia severa de la cara media y labios incompetentes. Se observó respiración bucal, brecha interlabial de aproximadamente 12 mm en reposo y una mente hiperactiva. El cierre de los labios no fue posible sin tensión muscular. También fue observado un perfil facial cóncavo, sin embargo, la mandíbula parecía normal y la barbilla no era prominente."

 

La mandíbula corresponde a la mandíbula inferior y el maxilar a la mandíbula superior.

gr2

Los aspectos craneofaciales anteriormente mencionados (en negrita) se pueden reducir con un entrenamiento específico en la terapia del habla.

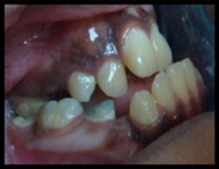
Intraoralmente, se observó macroglosia  un patrón de deglución con empuje de la lengua, gingivitis generalizada, mordida cruzada posterior, mordida abierta anterior (igual que la maloclusión) y una reacción invertida anterior. Había una relación molar dental clase III con apiñamiento (una de las complicaciones dentales más comunes en pacientes acondroplásicos) en la región maxilar anterior. La paciente tenía dentición mixta: tamaño, número y forma de los dientes era normal con múltiples lesiones y restauraciones de caries. La erupción de los dientes era compatible con la edad cronológica. La radiografía panorámica mostró un número completo de dientes permanentes, incluyendo terceros molares con desarrollo normal, apiñamiento en las regiones caninas y en los molares superiores. El análisis cefalométrico de la radiografía lateral del cráneo reveló que el maxilar era severamente retrognático (posición anormal del maxilar, cuando empuja hacia atrás, con relación al esqueleto facial y a los tejidos blandos), con la posición normal de la mandíbula, con la altura facial superior disminuida, con la altura facial inferior aumentada y con una relación esquelética de mandíbula de clase III. Dentalmente, los incisivos maxilares estaban reclinados y los incisivos mandibulares estaban normalmente inclinados. Se evaluó el riesgo de caries. El plan de tratamiento fue formulado tanto para extraer todos los dientes primarios cariados como para restaurar todos los dientes permanentes cariados. Se realizó el tratamiento dental según lo planificado, con anestesia local y la colaboración de la paciente. Esta fue colocada en un programa de visita al odontólogo a cada tres meses.

gr4 gr6 gr7

 

La evaluación ortodóntica no tiene descrita una línea de tiempo para niños con acondroplasia, pero la primera evaluación podría ser realizada alrededor de los 6 años de edad.

Para ver esta página web usted necesita de Internet Explorer 8 (o una versión más reciente)
u otro browser.


Muchas gracias.